最近锦州市口腔医院的诊室里,迎来了不少专程来咨询、拔除智齿的年轻人,把智齿隐患“清零”,当成新春护牙第一课,已然成为年轻人的过年新潮流。
尤其是返乡的学生党,平时课业繁忙,没时间处理口腔小毛病,好不容易盼来寒假长假,正好是解决智齿问题的黄金窗口期。这期智齿科普,请速速收藏!
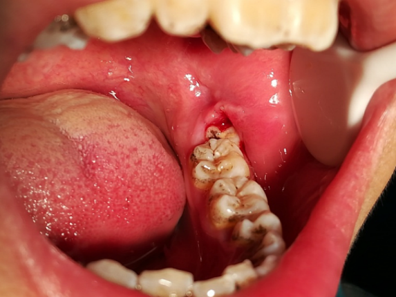
智齿,学名第三磨牙,大多在17-30岁集中萌出,恰好是学生群体、青年群体的高发萌出年龄段。人类进化中颌骨不断缩小,多数人的颌骨空间早已容不下这颗“多余的牙”,智齿便成了阻生、发炎、伤邻牙的“麻烦制造者”,新春佳节更是容易趁虚而入。
这3类智齿,春节前一定要处理!
1. 阻生智齿:藏在牙龈下的“定时炸弹”
智齿倾斜、水平、埋伏生长,刷不到、清不净,是细菌扎堆的重灾区。不仅会反复红肿疼痛,还会悄悄挤压邻牙,导致邻牙移位、牙根受损,等到春节突发肿痛,只能错过一桌桌年味美食。
2. 反复发炎的智齿:春节假期的“破坏王”
智齿萌出不全形成的盲袋,极易卡塞食物残渣,火锅、坚果、糖果等春节特色美食下肚,更容易诱发冠周炎,出现牙龈化脓、张口困难、脸颊肿成包子,甚至发烧不适,让团圆时刻只剩疼痛煎熬。
3. 挤压邻牙的智齿:悄悄毁牙的“隐形杀手”
即便暂时不疼,倾斜生长的智齿会和邻牙形成清洁死角,久而久之引发邻牙蛀牙、牙龈萎缩、牙齿松动,造成不可逆的口腔损伤,拖得越久治疗越复杂、花费越高。
温馨提示:并非所有智齿都要拔!若智齿萌出端正、空间充足、清洁到位、无发炎肿痛,或智齿完全骨埋伏,对邻牙无影响,也无症状,都可保留观察。
学生假期拔智齿,3大优势别错过
假期充足,恢复从容:寒假时间长,拔完智齿有足够时间静养,避开开学后的学业压力,术后恢复更省心。
一站式解决口腔问题:可同期先做口腔全面检查、洁牙、补牙,一次就诊搞定全年口腔隐患。
新春团圆,不该被智齿疼痛打扰;新年启程,更要以健康舒适的状态出发。趁春节前夕,做一次全面口腔检查,该拔的智齿及时处理,给口腔“减负”,为新年“加分”。
供稿:口腔颌面外科
版权所有:锦州市口腔医院 www.jzskqyy.com 地址:锦州市古塔区宜昌路三段28号 电话:0416-2650712 / 2650740 邮编:121000
版权所有
声明:本网站图片均来自互联网,如有侵权请联系客服删除
辽ICP备14001314号-1
辽公网安备 21070202000169号